St. George - Sutherland Nuclear Medicine
St. George - Sutherland Nuclear Medicine
St. George - Sutherland Nuclear Medicine
St. George - Sutherland Nuclear Medicine home about us services case studies patient information FAQ contact us
St. George - Sutherland Nuclear Medicine
muscular
cardiovascular
respiratory
endocrine
gastrointestinal
renal
inflammation
bone mineral density scan
m
St. George - Sutherland Nuclear Medicine scans
inflammation

What is a gallium scan?
Gallium scan are used to detect areas of acute inflammation, usually infectious in origin. In the past, gallium scans were also used to localise certain tumours, mainly lymphoma. This has been largely replaced by FDG-PET scans.

When should I order a gallium scan?
Detection, localisation and follow-up of infection.

What do I tell my patient?
The patient needs to come to the Department on two occasions. On the first day, the patient receives an intravenous injection of tracer and then is free to go. The patient returns two days later and is scanned. The imaging can take up to 90 minutes. The tracer is excreted through the bowel and sometimes additional imaging is needed on the following day after the tracer has cleared from the bowel.
No preparation required.

What will the scan tell me?
Focal uptake of gallium is usually due to active inflammation, which is usually due to infection.

What next?
A positive gallium study is a marker of active disease and appropriate specialist consultation is indicated.

 
gallium scan
Gallium scan on a patient with suspected osteomyelitis of the right hip demonstrates marked gallium accumulation in right hip (arrow) typical of osteomyelitis. A second abnormality is seen in the left ankle in keeping with a second site of osteomyelitis in the left ankle (arrow).
b

What is a labelled white cell scan?
The scan detects areas of inflammation, usually due to infection, using autologous labelled white cells.

When should I order a white cell scan?
1. Detection of abscess or acute infection.
2. Evaluation of inflammatory bowel disease.

What do I tell my patient?
Allow 4 hours.

No preparation required.

Blood is withdrawn from the patient and the white blood cells are labelled with a radiotracer and then re-injected. The separation of white blood cells and their labelling requires approximately 1 hr. The patient returns for imaging at one and three hours after injection. There are no restrictions on the patient during the two hour break.

What will the scan tell me?
A positive scan indicates active inflammation. In the setting of sepsis, this indicates active infection or abscess formation. In inflammatory bowel disease, this would indicate active disease at the site of white cell accumulation.

What next?
A positive white cell scan is a marker of active infection/inflammation and therapy is required.

 
gallium scan
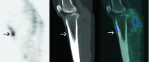
Radiolabelled White Blood Cell Study The image above demonstrates an accumulation of radiolabelled white blood cells indicating active infection.
St. George - Sutherland Nuclear Medicine St. George - Sutherland Nuclear Medicine
  patient information   FAQ   contact us
 
  home | about us | scans | client case studies | patient information | FAQ | contact us
© Nuclear Medicine 2011 [website designed by Divine Creative Design]